Forschung

Publikationen: Jungblut, M. & Aldridge, D. (2004): Musik als Brücke zur Sprache – die musiktherapeutische Behandlungsmethode “SIPARI®“ bei Langzeitaphasikern. Neurologie & Rehabilitation, 10 (2): 69- 78. Jungblut, M. (2005): Music therapy for people with chronic aphasia: a controlled study. In: Aldridge, D. (Ed.): Music therapy and neurological rehabilitation. Performing health. Jessica Kingsley Publishers, London and Philadelphia, 189-211. Jungblut, M. Gerhard, H. & Aldridge, D. (2006): Die Wirkung einer spezifischen musiktherapeutischen Behandlung auf die sprachlichen Leistungen eines chronisch kranken Globalaphasikers – eine Falldarstellung. Neurologie & Rehabilitation 12 (6), 339-347. Jungblut, M., Suchanek, M., Gerhard, H. (2009): Long-term recovery from chronic Global aphasia: a case report. Music & Medicine, Vol. 1, No. 1, 61-69. Jungblut, M. (2009): SIPARI®: a music therapy intervention for patients suffering with chronic, nonfluent aphasia. Music & Medicine, Vol. 1, No. 2., 102-105 . Jungblut, M., Huber, W., Pustelniak, M., Schnitker, R., M. (2009): The neural substrates of chanted vowel changes in rhythm sequences. NeuroImage, 47 (1): S119. Jungblut, M. (2010): SIPARI® Musikunterstützte Sprachanbahnung bei chronischer Aphasie. Aphasie und verwandte Gebiete, 1, 69-79. Jungblut, M., Huber, W., Pustelniak, M., Schnitker, R. (2011): Neuronale Korrelate rhythmischer Strukturen beim Singen - eine fMRT-Studie. Neurologie & Rehabilitation, 17 (1): 33-39. Jungblut, M., Huber, W., Pustelniak, M. and Schnitker, R. (2012): The impact of rhythm complexity on brain activation during simple singing - an event-related fMRI study. Restorative Neurology and Neuroscience, 30 (1): 39-53. Jungblut, M., Huber, W., Mais, C. and Schnitker, R. (2014): Paving the way for speech: Voice-training- induced plasticity in chronic aphasia and apraxia of speech - three single cases. Neural Plasicity, Article ID 841982, 14 pages, http://dx.doi.org/10.1155/2014/841982. Jungblut,M (2014): SIPARI® bei chronischer Aphasie und Sprechapraxie – Was fMRT-Untersuchungen zeigen. Aphasie und verwandte Gebiete,3, 29-36. Jungblut, M., Huber, W., Schnitker, R. (2016): Rhythm structure influences auditory-motor interaction during anticipatory listening to simple singing. Journal of Speech Pathology & Therapy, 1: 108.doi:10.4172/jspt.1000108.J Jungblut, M., Mais, C. Huber, W., Binkofski, F.C., Schüppen, A. (2020): 5-year course of therapy-induced recovery in chronic non-fluent aphasia - Three single cases – CORTEX, Vol. 132, pp. 147-165. https://publications.rwth-aachen.de/record/814516. Jungblut, M.,Mais, C., Binkofski F.C., Schüppen, A. (2022): The efficacy of a directed rhythmic-melodic voice training in the treatment of chronic non-fluent aphasia—Behavioral and imaging results. Journal of Neurology. http://dx.doi.org/10.1007/s00415-022-11163-2

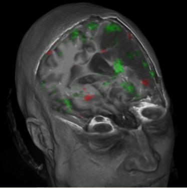
Exemplarisch sind hier die Ergebnisse eines Studienteilnehmers

in einem 3D-Modell dargestellt:

Rot – vor der Therapie, Grün – nach der Therapie

Dank

an

André

Schüppen

(Brain

Imaging

Facility

am

IZKF,

Universitätsklinikum RWTH Aachen)!

Die

Ergebnisse

einer

randomisierten

kontrollierten

Studie

wurden

2022 im

Journal of Neurology

veröffentlicht.

Dr. rer. medic. Monika Jungblut

Am Lipkamp 14

47269 Duisburg

tel.: 0203 711319

S I P A R I ®

evidenzbasierte musikunterstützte Sprachanbahnung

für chronisch kranke Aphasie-Patienten

®

Print PDF

ePoster:

HBM 2016, Genf WCNR 2016, Philadelphia, PA HBM 2014 Poster 3734, Hamburg, Germany HBM 2014 Poster 1530, Hamburg, Germany HBM 2013, Seattle, WA HBM 2010, Barcelona, Spain HBM 2009, San Francisco, CA Poster GAB 2009 Poster GAB 2006

In

den

vergangenen

Jahren

wurden

mehrere

Forschungsstudien

mit

bildgebenden

Verfahren

(fMRT)

zum

Thema

"Einfluss

des

rhythmisch-melodischen

Stimmtrainings

nach

der

Methode

SIPARI®

auf

die

sprachlichen

Leistungen

und

die

damit

verbundene

Reorganisation

bei

Patienten

mit

chronischer

Aphasie

und

Sprechapraxie"

in

Kooperation

mit

dem

Universitätsklinikum

Aachen

(Prof.

Binkofski,

Prof.

Huber)

und

der

Brain

Imaging

Facility

des

Interdisziplinären

Zentrums

für

Klinische

Forschung

(IZKF)

am

Universitätsklinikum Aachen durchgeführt.

In

einer

ersten

Studie

mit

schwer

betroffenen,

chronisch

kranken

Aphasikern

mit

Sprechapraxie

konnten

wir

bereits

zeigen,

dass

es

nach

50

Stunden

SIPARI®-Therapie

zur

Reorganisation

sprachverwandter

Bereiche

rund

um

die

Läsion

kommt

(s.

3D-

Modell).

Die

Aktivierungsübernahme

im

linken

Gehirn

korreliert

mit

signifikanten

Verbesserungen

sprachlicher

und

sprech-motorischer

Leistungen.

Die

Ergebnisse

der

Studie

finden

Sie

in

der

Zeitschrift

Neural Plasticity.

Die

Ergebnisse

der

nachfolgenden

Langzeitstudie,

bei

der

wir

den

Verlauf

über

einen

Zeitraum

von

5

Jahren

dokumentiert

haben,

finden Sie in der Zeitschrift

Cortex

.

Die

Ergebnisse

zeigen,

dass

es

durch

diese

Therapie

zu

einer

Aktivierungsübernahme

durch

sprachverwandte

Bereiche

rund

um

die

Schädigung

(ausgedehnter

schwarzer

Bereich)

in

der

linken

Gehirnhälfte

kommt,

die

mit

deutlichen

Verbesserungen

der

sprachlichen

Fähigkeiten

einhergeht

(nachgewiesen

an

Hand

des

Aachener Aphasie Tests).

Die

von

Frau

Dr.

Jungblut

entwickelte

SIPARI®

Therapie

wird

ausschließlich

von

ihr

oder

von

ihr

ausgebildeten

und

zertifizierten

Therapeuten

angeboten.

Interessenten

und

Patienten

sollten

sich

vergewissern,

dass

der

anbietende

Therapeut

über

eine

entsprechende

Ausbildung verfügt.

Aus Gründen der besseren Lesbarkeit wird auf die gleichzeitige Verwendung der Sprachformen männlich, weiblich und divers (m/w/d) verzichtet. Sämtliche Personenbezeichnungen gelten gleichermaßen für alle Geschlechter.
® S I P A R I ® evidenzbasierte musikunterstützte Sprachanbahnung  für chronisch kranke Aphasie-Patienten

Forschung

ePoster:

HBM 2016, Genf WCNR 2016, Philadelphia, PA HBM 2014 Poster 3734, Hamburg, Germany HBM 2014 Poster 1530, Hamburg, Germany HBM 2013, Seattle, WA HBM 2010, Barcelona, Spain HBM 2009, San Francisco, CA Poster GAB 2009 Poster GAB 2006

In

den

vergangenen

Jahren

wurden

mehrere

Forschungsstudien

mit

bildgebenden

Verfahren

(fMRT)

zum

Thema

"Einfluss

des

rhythmisch-melodischen

Stimmtrainings

nach

der

Methode

SIPARI®

auf

die

sprachlichen

Leistungen

und

die

damit

verbundene

Reorganisation

bei

Patienten

mit

chronischer

Aphasie

und

Sprechapraxie"

in

Kooperation

mit

dem

Universitätsklinikum

Aachen

(Prof.

Binkofski,

Prof.

Huber)

und

der

Brain

Imaging

Facility

des

Interdisziplinären

Zentrums

für

Klinische

Forschung

(IZKF)

am

Universitätsklinikum

Aachen

durchgeführt.

In

einer

ersten

Studie

mit

schwer

betroffenen,

chronisch

kranken

Aphasikern

mit

Sprechapraxie

konnten

wir

bereits

zeigen,

dass

es

nach

50

Stunden

SIPARI®-Therapie

zur

Reorganisation

sprachverwandter

Bereiche

rund

um

die

Läsion

kommt

(s.

3D-

Modell).

Die

Aktivierungsübernahme

im

linken

Gehirn

korreliert

mit

signifikanten

Verbesserungen

sprachlicher

und

sprech-

motorischer

Leistungen.

Die

Ergebnisse

der

Studie

finden

Sie

in

der Zeitschrift

Neural Plasticity.

Die

Ergebnisse

der

nachfolgenden

Langzeitstudie,

bei

der

wir

den

Verlauf

über

einen

Zeitraum

von

5

Jahren

dokumentiert

haben,

finden Sie in der Zeitschrift

Cortex

.

Die

Ergebnisse

zeigen,

dass

es

durch

diese

Therapie

zu

einer

Aktivierungsübernahme

durch

sprachverwandte

Bereiche

rund

um

die

Schädigung

(ausgedehnter

schwarzer

Bereich)

in

der

linken

Gehirnhälfte

kommt,

die

mit

deutlichen

Verbesserungen

der

sprachlichen

Fähigkeiten

einhergeht

(nachgewiesen

an

Hand

des Aachener Aphasie Tests).

Exemplarisch sind hier die Ergebnisse eines Studienteilnehmers

in einem 3D-Modell dargestellt:

Rot – vor der Therapie, Grün – nach der Therapie

Dank

an

André

Schüppen

(Brain

Imaging

Facility

am

IZKF,

Universitätsklinikum RWTH Aachen)!

Die

Ergebnisse

einer

randomisierten

kontrollierten

Studie

wurden

2022 im

Journal of Neurology

veröffentlicht.

Dr. rer. medic. Monika Jungblut

Am Lipkamp 14

47269 Duisburg

tel.: 0203 711319

Publikationen: Jungblut, M. & Aldridge, D. (2004): Musik als Brücke zur Sprache – die musiktherapeutische Behandlungsmethode “SIPARI®“ bei Langzeitaphasikern. Neurologie & Rehabilitation, 10 (2): 69-78. Jungblut, M. (2005): Music therapy for people with chronic aphasia: a controlled study. In: Aldridge, D. (Ed.): Music therapy and neurological rehabilitation. Performing health. Jessica Kingsley Publishers, London and Philadelphia, 189-211. Jungblut, M. Gerhard, H. & Aldridge, D. (2006): Die Wirkung einer spezifischen musiktherapeutischen Behandlung auf die sprachlichen Leistungen eines chronisch kranken Globalaphasikers – eine Falldarstellung. Neurologie & Rehabilitation 12 (6), 339-347. Jungblut, M., Suchanek, M., Gerhard, H. (2009): Long-term recovery from chronic Global aphasia: a case report. Music & Medicine, Vol. 1, No. 1, 61-69. Jungblut, M. (2009): SIPARI®: a music therapy intervention for patients suffering with chronic, nonfluent aphasia. Music & Medicine, Vol. 1, No. 2., 102-105 . Jungblut, M., Huber, W., Pustelniak, M., Schnitker, R., M. (2009): The neural substrates of chanted vowel changes in rhythm sequences. NeuroImage, 47 (1): S119. Jungblut, M. (2010): SIPARI® Musikunterstützte Sprachanbahnung bei chronischer Aphasie. Aphasie und verwandte Gebiete, 1, 69-79. Jungblut, M., Huber, W., Pustelniak, M., Schnitker, R. (2011): Neuronale Korrelate rhythmischer Strukturen beim Singen - eine fMRT-Studie. Neurologie & Rehabilitation, 17 (1): 33-39. Jungblut, M., Huber, W., Pustelniak, M. and Schnitker, R. (2012): The impact of rhythm complexity on brain activation during simple singing - an event-related fMRI study. Restorative Neurology and Neuroscience, 30 (1): 39-53. Jungblut, M., Huber, W., Mais, C. and Schnitker, R. (2014): Paving the way for speech: Voice-training-induced plasticity in chronic aphasia and apraxia of speech - three single cases. Neural Plasicity, Article ID 841982, 14 pages, http://dx.doi.org/10.1155/2014/841982. Jungblut,M (2014): SIPARI® bei chronischer Aphasie und Sprechapraxie – Was fMRT-Untersuchungen zeigen. Aphasie und verwandte Gebiete,3, 29-36. Jungblut, M., Huber, W., Schnitker, R. (2016): Rhythm structure influences auditory-motor interaction during anticipatory listening to simple singing. Journal of Speech Pathology & Therapy, 1: 108.doi:10.4172/jspt.1000108.J Jungblut, M., Mais, C. Huber, W., Binkofski, F.C., Schüppen, A. (2020): 5-year course of therapy-induced recovery in chronic non-fluent aphasia - Three single cases – CORTEX, Vol. 132, pp. 147-165. https://publications.rwth- aachen.de/record/814516. Jungblut, M.,Mais, C., Binkofski F.C., Schüppen, A. (2022): The efficacy of a directed rhythmic-melodic voice training in the treatment of chronic non-fluent aphasia—Behavioral and imaging results. Journal of Neurology. http://dx.doi.org/10.1007/s00415-022-11163-2

Die

von

Frau

Dr.

Jungblut

entwickelte

SIPARI®

Therapie

wird

ausschließlich

von

ihr

oder

von

ihr

ausgebildeten

und

zertifizierten

Therapeuten

angeboten.

Interessenten

und

Patienten

sollten

sich

vergewissern,

dass

der

anbietende

Therapeut über eine entsprechende Ausbildung verfügt.

Aus Gründen der besseren Lesbarkeit wird auf die gleichzeitige Verwen- dung der Sprachformen männlich, weiblich und divers (m/w/d) verzichtet.